top of page

Vascular EDS Photo Gallery

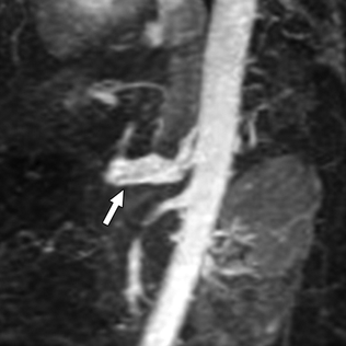
Pictures of vascular EDS and its symptoms

Photo Gallery: Service
Photo Gallery: ProGallery_Widget
bottom of page